近日,我院骨外Ⅲ科再次成功完成一例关节镜下跟骨骨刺切除术,给广大跟骨骨刺患者带来微创下治愈的新手术方式,该手术是关节镜治疗关节外疾患的成功范例,将我院运动医学微创技术又带入了一个全新的领域。
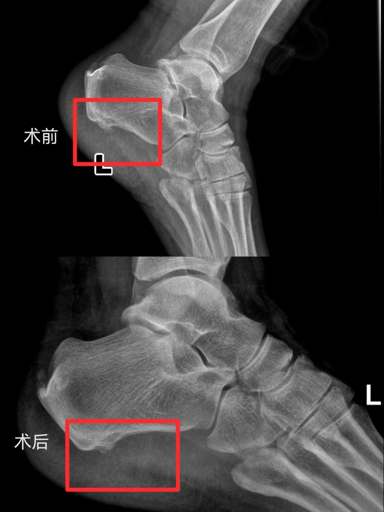
患者何某,4月份出现行走后左足跟部反复疼痛,休息后缓解,近期愈发加重,此前患者曾在当地卫生院尝试理疗、局部封闭等各种治疗方法效果均不理想,遂入我院骨外Ⅲ科治疗。科室接诊后,查体发现患者左侧足底后跟部压痛明显,经筛查排除了痛风、类风湿关节炎、骨折、骨髓炎等相关疾病。X线片可见左侧跟骨骨质增生、有骨刺形成,综合分析确诊为左侧跟骨骨刺并足底跖筋膜炎。
科主任邓军荣组织团队医生进行认真充分的术前讨论后,决定为患者行关节镜下行左跟骨病损切除术+左跖筋膜松解术。由周全医生主刀:手术取足跟部内侧两个长约0.5cm小切口,术中利用关节镜直达病灶,直视下切除跟骨骨刺,松解跟骨结节附着的跖筋膜,切除骨刺与跖筋膜之间的慢性炎性组织,避免了骨刺复发的可能。手术顺利完成,术后第二天患者便可下地行走,并在医生及护士详细告知相关注意事项后办理出院。

据邓主任介绍,跟骨骨刺即足跟骨质增生,多见于中老年人。其形成原因是跖腱膜长期牵拉跟骨骨质而引起的慢性骨质增生现象。它的基本症状是足跟压痛,走路时脚跟不敢用力,有针刺样的感觉,活动开后,症状减轻。跟骨骨刺是退行性、劳损性的改变,早期先减少负重运动,减少走路,并涂抹膏药以及口服非甾体消炎药来缓解症状。若早期规范治疗,不能缓解疼痛,可以考虑手术治疗。但传统切开手术治疗跟骨骨刺,创伤大,患者疼痛时间长,康复时间长,需不负重2-3周,已逐渐被淘汰。关节镜下微创治疗跟痛症,既消除了病因,还保留了跖腱膜相对完整。手术创伤小,恢复快,效果好,术后第2天患者即可下地活动。
截至目前,我院骨外Ⅲ科已成功完成此类手术10多例。近年来,我院大骨外科紧紧围绕“手术要向微创方面发展”理念,采取“请进来、送出去”的模式,使骨外科微创技术水平日臻完善,已涵盖到骨科手术的各个方面,大大提高了当地百姓的满意度和健康指数,取得良好的社会效益。
